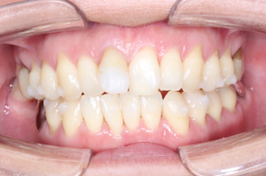
治療途中のマウスピース矯正の症例
Before |
After |
治療途中のマウスピース矯正の症例です。
| 主訴 |
歯のガタツキ |
| 年齢 |
43歳 女性 |
| 治療期間 |
1年10ヶ月(治療途中) |
| 治療費 |
79万+税 |
| リスクと注意点 |
治療中は汚れが溜まりやすくなるので歯ブラシをしっかり行う必要があります。 |
のびのび歯科・矯正歯科 :https://kamata-ortho.jp/
〒146-0095 東京都大田区多摩川1-33-24
電話:03-6715-2677
交通アクセス
電車でお越しの方:
矢口渡駅から徒歩3分
武蔵新田駅から徒歩7分
蓮沼駅から徒歩10分
池上駅から徒歩15分
蒲田駅から徒歩20分
Before
After