「症例集」の記事一覧
-
-
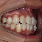
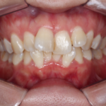
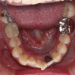
マウスピース矯正の症例
Before After マウスピース矯正の症例です。 主訴 噛み合わせが悪い ...
-
-
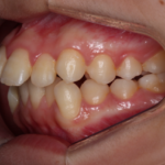
マウスピース矯正の症例
Before After マウスピース矯正の症例です。 主訴 歯のずれ 年齢 3 ...
-
-
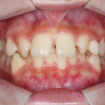
マウスピース矯正の症例
Before After マウスピース矯正の症例です。 主訴 歯の重なり 年齢 ...
-
-
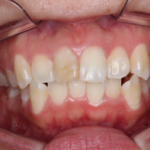
マウスピース矯正の症例
Before After マウスピース矯正の症例です。 主訴 歯のガタツキ 年齢 ...
-
-
治療途中のマウスピース矯正の症例
Before After 治療途中のマウスピース矯正の症例です。 主訴 歯のガタ ...
-
-
マウスピース矯正の症例
Before After マウスピース矯正の症例です。 主訴 前歯の歯並び 年齢 ...
-
-
マウスピース矯正の症例
Before After マウスピース矯正の症例です。 主訴 歯の重なり 年齢 ...
-
-
マウスピース矯正の症例
Before After マウスピース矯正の症例です。 主訴 歯のガタツキ 年齢 ...
-
-
【叢生】インビザライン症例:ガタガタが気になる
治療前 治療後 症例の詳細 主訴 ガタガタが気になる ...
-
-
【空隙歯列、叢生】インビザライン症例:隙間とガタガタが気になる
治療前 治療後 症例の詳細 主訴 隙間とガタガタが気 ...
